김해 고양이 전문 병원ㅣ우리 고양이 감기일까? 상부호흡기증후군, 허피스 바이러스 감염증 치료 사례 (1)
페이지 정보

최고관리자
2026-03-20
본문
안녕하세요.
김해동물메디컬센터 노령묘 전문 내과 원장 조성민 수의사입니다.
오늘은 외부에서 돌봐주시는 7세 추정의 고양이가 지속적인 호흡기 증상으로 내원하여,
정확한 근거 기반 진단을 통해 건강을 회복한 사례를 소개해드립니다.
■ 내원 경위 및 증상 ■

- 본 내용과는 관련없는 이미지입니다 -
환자는 일주일 전부터 시작된 '켁켁거리는 증상'으로
인근 병원에서 지속성 항생제 주사 처치를 받았으나, 전혀 호전되지 않아 본원을 찾았습니다.
내원 당시 식욕이 다소 저하되어 있었고, 눈 분비물도 확인되었습니다.
■ 진단 검사 ■
환경적인 부분에서 실내외 생활을 반복하는 환축이라
상태체크를 위한 기본 검사를 병행하였습니다.

< CBC 전혈검사 >

< SAA 염증검사 및 PROBNP 심장 검사를 포함한 혈청화학검사 >
- 혈액검사 -
전신 염증 수치인 fSAA가 58.3으로 매우 높게 특정되었으며,
호중구 중심의 백혈구 증가증이 확인되었습니다.
이는 단순 감기를 넘어선 강한 염증 반응이 진행 중임을 시사합니다.
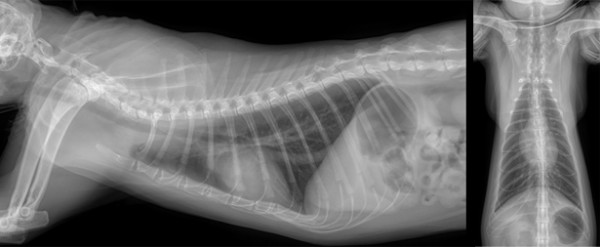
- 영상 및 심장 혈액 검사 -
흉부 방사선(VHS 7.3) 과 심장 키트(proBNP 50) 결과,
기침의 원인이 심장 질환일 가능성은 배제되었습니다.
댓글목록
등록된 댓글이 없습니다.



