특화센터

특화센터

정형외과센터

정형외과센터

십자인대파열 절골술, 고관절 이형성증,슬개골 탈구 및 관절낭 내 주사 등의 정밀한 진단과 치료를 제공합니다.
반려동물들의 편안함과 안전을 최우선으로 생각하며, 친절하고 전문적인 의료진이 항상
동반자로서 함께합니다. 최신 장비와 기술을 활용하여 반려동물들에게 최고의 치료를 제공합니다.

m_ce3.png

김해동물메디컬센터는 뭐가 다른가요?

다양한 경험으로 좋은 예후를 자랑합니다.

숙달된 의료진과 간호사들이 상주하여, 정확하고 충분한 조치가 가능합니다.
응급병동이 별도로 운영되며, 최적의 동선에서 치료가 가능합니다.

GIMHAE ANIMAL MEDICAL CENTER

정형외과 센터 시술 케이스

Treatment case

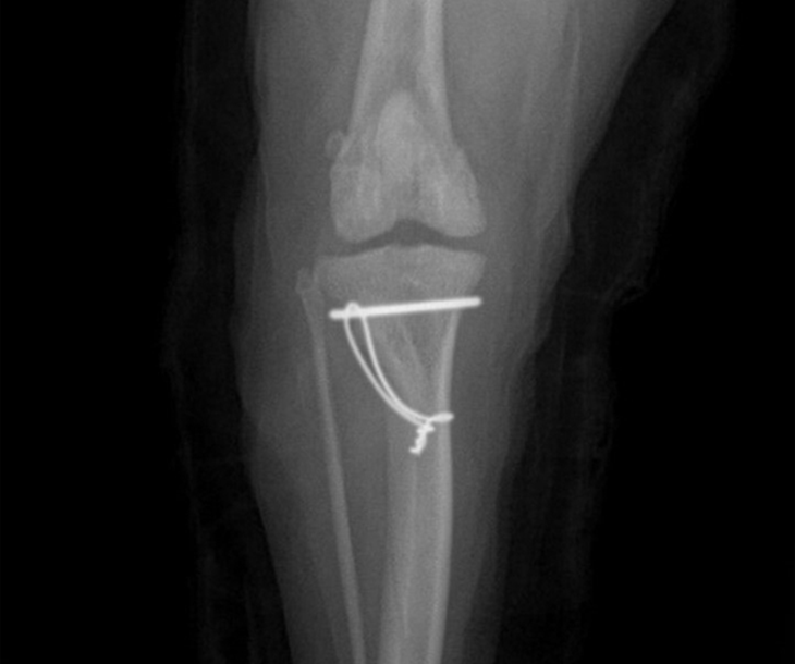
십자인대파열 절골술

십자인대 파열은 개의 무릎 관절에서 발생하는 일반적인 부상 중 하나로,특히 노령 개에서 더욱 흔하게 발생합니다.노화 과정은 십자인대의 결합 조직을 약화시켜, 일상 활동 중에도 파열이 발생할 수 있게 만듭니다. 이러한 상황은 관절의 안정성 손실,통증,그리고 장기적으로는 관절염으로 이어질 수 있는 심각한 문제를 초래합니다.

01 / 04
Treatment case

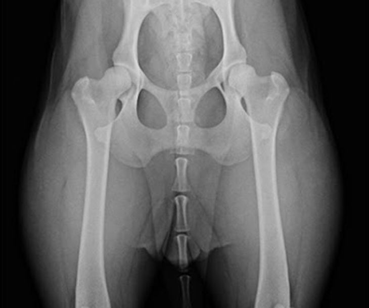
고관절 이형성증

강아지 고관절이형성증은 주로 비정상적인 관절 구조와 정상적인 지탱을 위한 근육,연결 조직,인대의 느슨함과 관련이 있습니다.이 질병은 70%가 유전적 요인과 관련이 있으며,후천적인 경우에는 관절 불안정성이나 환경적 요인에 의해 발생할 수 있습니다.

02 / 04
Treatment case

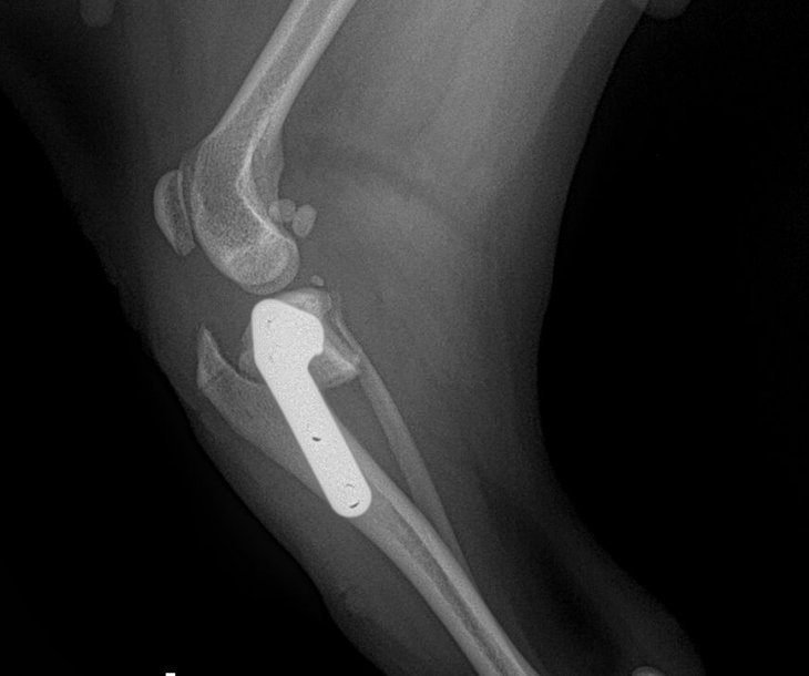
슬개골 탈구

십자인대 파열은 개의 무릎 관절에서 발생하는 일반적인 부상 중 하나로,특히 노령 개에서 더욱 흔하게 발생합니다. 노화 과정은 십자인대의 결합 조직을 약화시켜, 일상 활동 중에도 파열이 발생할 수 있게 만듭니다. 이러한 상황은 관절의 안정성 손실,통증,그리고 장기적으로는 관절염으로 이어질 수 있는 심각한 문제를 초래합니다.

03 / 04
Treatment case

관절낭 내 주사

관절낭 내 주사는 반려동물 골관절염에 도움이 됩니다.염증억제 및 통증 완화 작용이 가능하여 수술 없이 예방과 치료가 가능합니다.

04 / 04

김해동물메디컬센터의 차별성

김해동물메디컬센터를 선택해야할까요?

01

맞춤 책임진료

상담에서 수술, 간단한 시술 하나라도 모든과정을 원장님이 전담하며, 아이에게 딱 맞는 진료를 제공합니다. 진단부터 수술 그리고 수술후 케어까지 책임지로 진료합니다.

02

정직한 진료

충분한 상담으로 환자에게 꼭 필요한 수술만 추천하여 과잉진료를 하지 않습니다.

03

전문화된 의료진

김해동물메디컬센터에 소속된 수의사들은 모두 전문분야 임상교육, 연구활동, 세미나 활동 등 다양한 영역에 걸쳐 학술활동을 수행한 수의사입니다. 다양한 임상경험과 철저하고 섬세한 수술방법으로 아이에게 전문화되고 따뜻한 진료를 제공합니다.

04

안전한 마취

다양한 자료의 진단을 통해 아이에게 가장 적합한 안전한 마취를 제공합니다.

055.312.7555

김해시 내외중앙로 83 (내동 1123-3 )

진료시간

공휴일 및 일요일은 야간 진료가 없습니다.

  • · 오전진료

    AM 10:00 ~ PM 12:00

  • · 오후진료

    PM 14:00 ~ PM 19:00

  • · 야간진료

    PM 19:00 ~ PM 21:30

SNS