김해 강아지 슬개골 탈구 수술 전문 김해동물메디컬센터ㅣ내측 탈구 4기 MPL 교정술
페이지 정보

최고관리자
2026-04-14
본문
안녕하세요!
김해 대표 수술잘하는 동물병원 김해동물메디컬센터입니다.
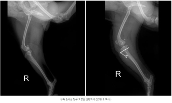
오늘의 환자는 이전에 양쪽 슬개골 탈구 진단을 받고
관절관련 보조제와 식이를 통한 체충 조절 등을 통해 관리를 해오던 중
최근 자다가도 일어나 빙글빙글 돌아다니며 다리쪽 통증을 호소하는 것 같다며 내원하셨습니다.
정확한 상태 확인을 위한 검사를 진행한 결과,
양쪽 모두 안쪽으로 슬개골이 빠지는 내측탈구 4기 상태가 확인되었고
통증의 근본 원인을 해결하기 위해 양측 모두 슬개골 탈구 교정술(MPL)을 진행하기로 결정하였습니다.
[ 김해동물메디컬센터의 양쪽 슬개골 탈구 교정술 후 입원 케어 ]
✅ 5박 6일 입원 치료
✅ 입원실에서 안정
✅ 항생제 및 진통 주사 투여
✅ 수액 처치
✅ 술부 드레싱
✅ 수술 후 X-ray Recheck
교정술 후 5일간 입원하여 24시간 케어를 받고 양호한 컨디션으로 퇴원한 아이는
집으로 돌아가서도 한동안 평지 생활과 내복약 복용 등 보호자의 세심한 케어와
꾸준한 통원 치료로 현재는 통증 반응 없이 정상 보행으로 생활하고 있습니다!
슬개골 탈구는 단순히 증상만 해결하는 것이 아니라,
근본적인 뼈 교정을 통해 우리 아이가 건강한 다로 생활할 수 있도록 하는 것이 핵심입니다.
김해동물메디컬센터는
정형외과 전문의와 함께 슬개골 탈구의 정확한 진단부터
관리 계획까지 보호자분들과 충분한 상담을 통해 진행하고 있습니다
댓글목록
등록된 댓글이 없습니다.


